Drs Aubry-Quénet, Serny, Nabholz, Pineau & Zerbib
Cabinet spécialisé en ophtalmologie
et chirurgie de la rétine à Montpellier
Créé en 2012, notre cabinet est doté d’un plateau technique de dernière génération
Pour l’exploration et le traitement des pathologies de la rétine
Bienvenue à
Centre Rétine Montpellier
Une équipe de 5 médecins ophtalmologistes spécialisés dans le traitement des maladies rétiniennes vous accueille.
L’approche diagnostique des pathologies rétiniennes à l’aide d’un équipement moderne et performant (rétinographes non mydriatiques, angiographies, OCT, OCT-A (angio-OCT)) permet aux Drs Aubry-Quénet, Serny, Nabholz, Pineau & Zerbib d’évaluer la situation ophtalmologique des patients suivis mais aussi les nouveaux patients à Montpellier, Béziers, Lunel, Gignac et Ganges.
L’approche thérapeutique avec l’utilisation de différents lasers rétiniens (Argon et Yag, photothérapie dynamique) et l’accès à une salle dédiée aux injections intra-vitréennes permet d’asssurer une prise en charge rapide de la maladie et d’un éventuel traitement au cabinet de Montpellier situé Espace Pitot, 96 Place Jacques Mirouze à Montpellier (proximités Arceaux, centre ville)
Votre cabinet
Plateau technique à Montpellier
Notre centre est doté d’un plateau technique de dernière génération pour l’exploration et le traitement des pathologies de la rétine.
– OCT Spectral Domain et Angiographe numérisé HRA SPECTRALIS
– OCT-Angiographe SPECTRALIS Heidelberg Engineering
– Laser jaune multispot fréquence doublée Quantel Medical
– Photothérapie dynamique
– Retinographe non mydriatique ultra grand champ
– Salle blanche
Votre consultation
Nos cabinets secondaires
Les médecins du Centre Rétine Montpellier exercent principalement à Montpellier, mais ils assurent également des consultations régulières dans plusieurs cabinets secondaires répartis en région, afin de faciliter l’accès aux soins ophtalmologiques pour un plus grand nombre de patients.
Ainsi, des consultations ont lieu chaque semaine à Béziers (Béziers Centre Ophtalmologie), à Lunel (Lunel Centre Ophtalmologie), à Gignac, ainsi qu’à Ganges (Centre d’Ophtalmologie des Cévennes). Pour les patients situés plus loin, une consultation est aussi possible dans le Sud-Aveyron, près de Millau et Saint-Affrique à Saint‑Georges‑de‑Luzençon, au cabinet Sud-Aveyron Centre Ophtalmologie.
Nos publications & événements
Actualités
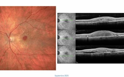
Cas Clinique – quand une CRSC se complique…
Ce cas illustre la complexité du spectre des pachychoroïdes et rappelle que toute CRSC atypique ou persistante doit faire rechercher une néovascularisation associée. L’imagerie multimodale est ici essentielle pour affiner le diagnostic et orienter la prise en charge.
Bilan congrès AMMYR 2026
Les 23 et 24 janvier 2026 s’est tenu avec succès le Congrès AMMYR 2026, une réunion scientifique riche en échanges, en partage d’expertise et en découvertes dans le domaine de l’ophtalmologie et plus particulièrement de la rétine, organisée par le Dr Isabelle Aubry-Quénet, le Dr Caroline Serny, le Dr Nicolas Nabholz et le Dr Jennyfer Zerbib du Centre Rétine Montpellier en collaboration avec le Dr Stéphanie Michau au Phare de la Méditerranée à Palavas-les-Flots.
Cas Clinique – Une histoire de bulle
Une illustration de plus de la richesse sémiologique de l’OCT et de l’importance d’une lecture fine et contextualisée.












