Le danger invisible des pointeurs laser chez l’enfant
On associe souvent les accidents rétiniens liés aux lasers à une exposition directe. Pourtant, ce cas illustre une réalité plus insidieuse : la dangerosité de la réflexion spéculaire, souvent sous-estimée.
✚ Présentation du cas
Un jeune patient est adressé en consultation pour une baisse d’acuité visuelle associée à un scotome central, après avoir joué avec un pointeur laser face à un miroir.
Ce mécanisme est typique : l’enfant ne perçoit pas le danger du reflet, alors que celui-ci peut conserver une puissance proche du faisceau incident, en particulier avec une réflexion spéculaire de bonne qualité. L’énergie est alors focalisée sur la macula.
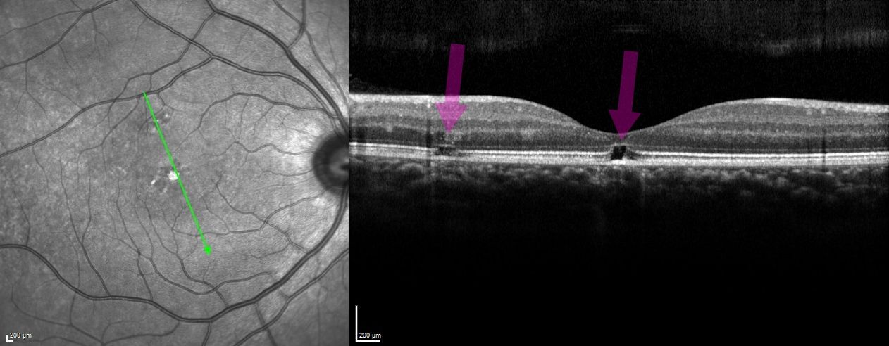
✚ Analyse de l’imagerie multimodale
Le bilan structurel met en évidence une atteinte maculaire significative :
Rétinophotographie : altération focale de l’épithélium pigmentaire (EPR), traduisant une absorption énergétique intense au pôle postérieur.
Near-Infrared (NIR) : visualisation de la lésion fovéolaire principale, avec mise en évidence de lésions paracentrales satellites, parfois invisibles au fond d’œil standard.
OCT (Optical Coherence Tomography) : atteinte structurale caractéristique avec interruption de la ligne des photorécepteurs, en regard des zones d’impact.
✚ Pourquoi le laser vert est-il particulièrement à risque ?
Dans ce contexte, l’utilisation d’un laser vert (≈ 532 nm) est associée à une toxicité accrue :
Émission infrarouge résiduelle : certains pointeurs verts bon marché (DPSS) présentent une fuite d’infrarouge (808 nm / 1064 nm) en l’absence de filtre adéquat. L’exposition réelle peut donc être supérieure à celle perçue visuellement.
Sensibilité rétinienne maximale : la longueur d’onde verte correspond au pic de sensibilité photopique, favorisant une absorption efficace au niveau rétinien.
Réflexe de protection insuffisant : le réflexe de clignement (~0,25 s) est souvent trop lent face à une exposition laser, en particulier lors d’une exposition indirecte ou inattendue.
✚ Rappel de santé publique
La littérature souligne que des dispositifs accessibles au grand public peuvent en réalité dépasser les seuils de sécurité annoncés.
Les lasers de classe 3R, 3B voire 4 sont parfois mal étiquetés sur certaines plateformes en ligne.
Le système optique de l’œil peut concentrer l’énergie incidente sur la rétine, avec un facteur d’amplification pouvant atteindre 10⁴ à 10⁵, exposant à des lésions photochimiques et thermiques irréversibles.
✚ Conclusion
La prévention reste essentielle.
Un pointeur laser n’est pas un jouet, et une réflexion dans un miroir peut être aussi délétère qu’une exposition directe
