Journées Perpignanaises d’Ophtalmologie 2026
Le Centre Rétine Montpellier était représenté aux Journées Perpignanaises d’Ophtalmologie, l’un des congrès régionaux incontournables de la spécialité. Deux communications ont marqué ces journées, témoignant de l’expertise clinique et chirurgicale de nos praticiens.
La choroïde sous toutes ses facettes
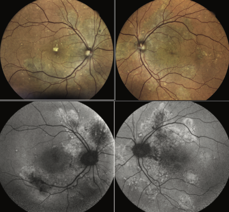
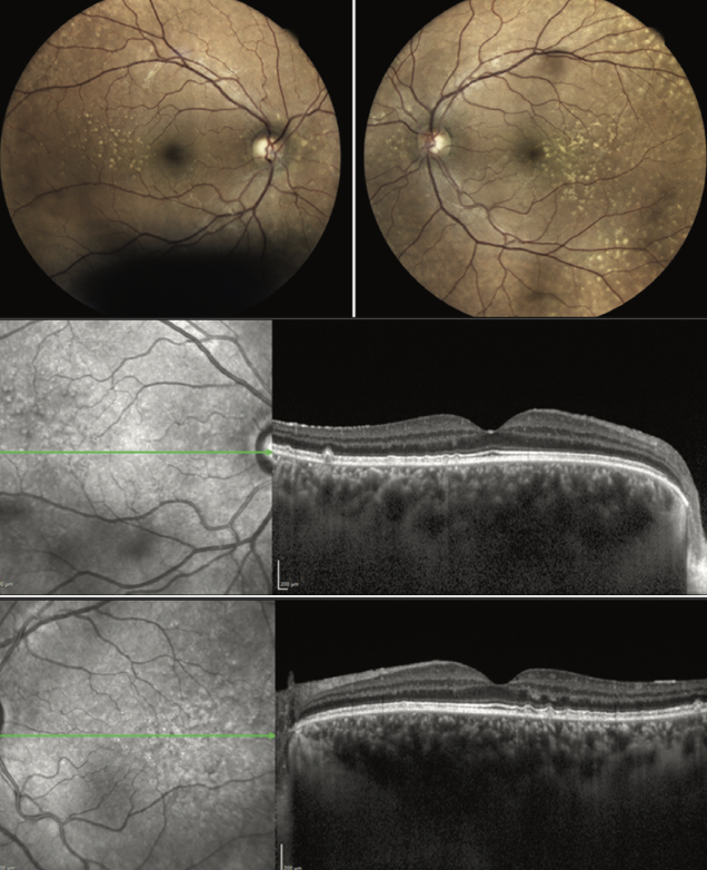
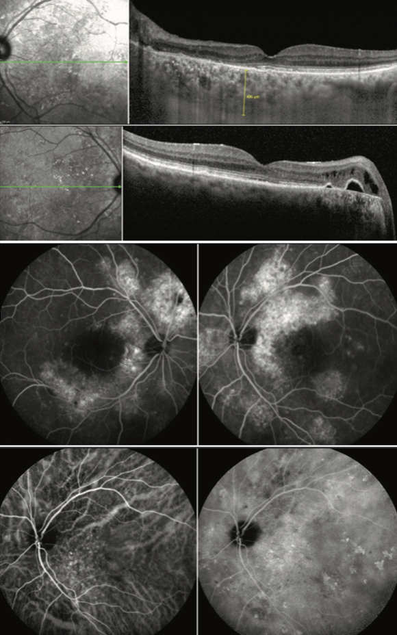
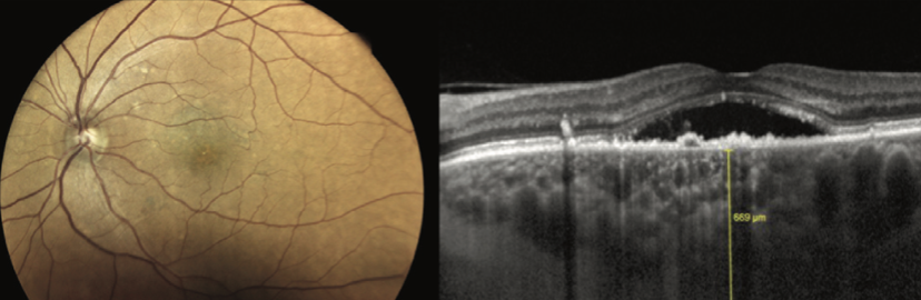
Le Dr Jennyfer ZERBIB a été invitée à présenter une communication dédiée à la choroïde, cette couche vasculaire essentielle de l’œil dont la compréhension a été transformée par les avancées récentes de l’imagerie ophtalmologique.
La présentation a débuté par un rappel de l’anatomie et de la physiologie de la choroïde, avant de détailler les différentes techniques d’imagerie disponibles aujourd’hui : OCT, imagerie grand champ, échographie, et angiographie au vert d’indocyanine (ICG).
Le temps fort de cette intervention a porté sur l’actualité de la pachychoroïde, une entité clinique caractérisée par un épaississement anormal de la choroïde, à travers ses dimensions physiopathologiques, cliniques et thérapeutiques. Ce domaine en plein essor fait l’objet d’une recherche active, et nos équipes y contribuent quotidiennement au travers de leur pratique et de leurs cas complexes.
Une technique chirurgicale mini-invasive pour les implants Carlevale
Le Dr Nicolas NABHOLZ a partagé son expérience sur une technique chirurgicale permettant la pose d’implants de type Carlevale par voie transconjonctivale. Cette approche, particulièrement peu invasive, permet d’accélérer significativement la récupération des patients.
La voie transconjonctivale représente une avancée notable dans la chirurgie du segment antérieur : en évitant toute incision large, elle réduit le traumatisme oculaire, limite les suites opératoires et offre aux patients un retour accéléré à une vision fonctionnelle. Le Dr Nabholz a partagé les résultats issus de sa propre série de cas, illustrant la reproductibilité et la sécurité de cette approche.
Ces deux communications illustrent l’engagement du Centre Rétine Montpellier dans le partage des connaissances et l’évolution des pratiques cliniques et chirurgicales.
Nous remercions les organisateurs des Journées Perpignanaises d’Ophtalmologie pour la qualité de cet événement.
